لبخند هر فرد مهمترین بخش هویت و حضور اجتماعی اوست. لبخندی که در صورت بهم خوردن تناسب دندان ها می تواند ظاهر چهره را تغییر دهد و حتی اعتماد به نفس فرد را تحت تاثیر قرار دهد. یکی از رایج ترین این ناهماهنگی هابیرون زدگی بیش از حد دو دندان جلویی فک بالااست. وضعیتی که در زبان رایج دندان خرگوش نامیده می شود.
اگرچه این موضوع در بسیاری از افراد یک ویژگی طبیعی و حتی گاهی جذاب تلقی می شود، اما می تواند باعث نارضایتی برخی شود. خوشبختانه با پیشرفت تکنیک های زیبایی دندان، امروزه می توان از روشی سریع، کم تهاجمی و مقرون به صرفه استفاده کرد، یعنی href="https://drsiminberangi.com/%d9%83%d8%a7%d9%85%d9%be%d9%88%d8%b2%d9%8a%d8%aa-%d9%88%d کامپوزیت دندان خرگوش ظاهر این دندان ها را اصلاح کرده و لبخندی هماهنگ، طبیعی و زیبا ایجاد کرده است. این مقاله به طور جامع و مفصل بررسی میکند که کامپوزیت دندان خرگوش چیست، برای چه افرادی مناسب است، چه مزایا و محدودیتهایی دارد، چگونه انجام میشود و در چه مواردی بهتر است از درمانهای جایگزین استفاده شود.
خلاصه سرفصل ها
توضیح
تعریف
روشی سریع و غیرتهاجمی برای اصلاح دندان های جلویی که کمی جلوتر هستند و باعث لبخند نامتقارن می شوند.
مواد استفاده شده
مواد کامپوزیت همرنگ دندان برای اصلاح شکل و ظاهر دندان ها.
طول درمان
معمولا 1 تا 2 جلسه کافی است.
نیاز به تراشیدن یا جراحی دارد
ندارد. سطح دندان فقط کمی آماده شده است.
مزایا
ایجاد لبخند طبیعی و هماهنگ، افزایش اعتماد به نفس، ترمیم آسان در صورت پر شدن لب یا ترک جزئی، هزینه مناسب نسبت به لمینت و ارتودنسی.
معایب / محدودیت ها
دوام کمتر از لمینت، حساس به ضربه یا فشار زیاد، به مراقبت منظم نیاز دارد، مناسب برای اورجت خفیف تا متوسط.
مراقبتهای بعدی
مسواک زدن منظم، نخ دندان کشیدن، اجتناب از جویدن مواد سفت، مراجعه دوره ای برای پرداخت و ترمیم نسبی.
مقایسه با لمینت و ارتودنسی
کمتر تهاجمی و سریعتر از ارتودنسی، هزینه کمتر نسبت به لمینت، ترمیم آسان، مناسب برای تغییر ظاهر سریع و طبیعی.
لمینیت دندان خرگوش
دلایل پوسیدگی دندان
- ژنتیک:
اگر یکی از والدین یا خواهر و برادرهای بیولوژیکی شما اورجت داشته باشد، احتمال ابتلای شما نیز به این بیماری بیشتر است.
- فشار زبان:
این زمانی اتفاق میافتد که هنگام بلع، زبان به پشت دندانهای جلویی بالایی فشار میآورد. این رفتار در نوزادان رایج است، اما بزرگسالان نیز ممکن است این عادت را ایجاد کنند.
- مکیدن انگشت یا شست:
بسیاری از کودکان انگشت یا شست خود را می مکند تا خود را آرام کنند. این رفتار کاملا طبیعی است. اما اگر این عادت بعد از 4 سالگی ادامه پیدا کند، می تواند به اورجت کمک کند.
- استفاده طولانی مدت از پستانک:
استفاده طولانی مدت از پستانک، مشابه مکیدن انگشت، می تواند باعث اورجت شود. اگر نگران استفاده کودک از پستانک هستید، بهتر است با پزشک متخصص اطفال مشورت کنید.
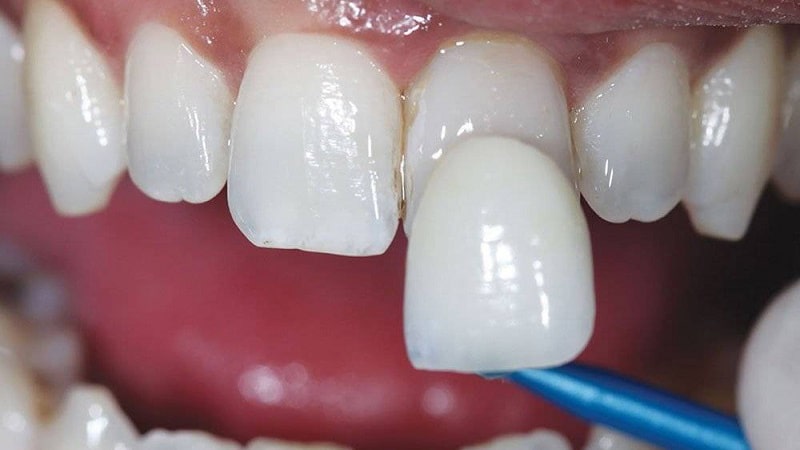
کامپوزیت دندان خرگوش چیست؟
کامپوزیت دندان خرگوش یک روش کم تهاجمی و سریع در دندانپزشکی زیبایی است که برای اصلاح دندانهای خرگوش استفاده میشود. در این روش بدون تراشیدن دندان ها از مواد کامپوزیت همرنگ دندان برای اصلاحشکل، طول، زاویه و تقارن دندان های قبلی
استفاده می شود.هدف از کامپوزیت در این شرایط تغییر موقعیت دندانها - بر خلاف ارتودنسی - نیست بلکه اصلاحظاهر دندان و ایجاد لبخندی هماهنگ و طبیعی است. این درمان معمولاً برای افرادی مناسب است که خفیف تا متوسط بیرون زدگی دندان دارند و می خواهند ظاهر لبخند خود را بدون انجام یک پروسه طولانی ارتودنسی بهبود بخشند.
بیشتر بخوانید: کامپوزیت بدون برش چگونه است
رنگ مناسب کامپوزیت بر اساس رنگ دندان های طبیعی انتخاب می شود. سپس با توجه به شکل صورت، خط لبخند و تناسبات صورت، طراحی اولیه برای ایجاد بیشترین هماهنگی با لبخند انجام می شود.
- آماده سازی سطح دندان بدون برش
یکی از مزایای اصلی کامپوزیت خرگوش این است که نیازی به تیز کردن دندان ها نیست. فقط سطح دندان کمی تمیز و صیقل داده می شود تا چسبندگی کامپوزیت بهبود یابد.
- تشکیل کامپوزیت روی دندان
مواد کامپوزیت لایه به لایه روی دندان اعمال میشود و توسط دندانپزشک قالبگیری میشود تا زاویه بیرون زده و شکل ناهموار دندانها را اصلاح کند.
کلیک کنیدبرای اطلاع از هزینه کامپوزیت دندانپزشکی 1404
-
کامپوزیت
- سخت کننده (سخت کننده)
لایه های کامپوزیت با نور مخصوص دستگاه پخت سخت می شوند و فرم نهایی تثبیت می شود.
- جلیقه نهایی
در آخرین مرحله، دندان ها برای ایجاد یک سطح صاف، براق و طبیعی پولیش می شوند. نتیجه بلافاصله قابل مشاهده است.
مزایای کامپوزیت دندان خرگوش
کامپوزیت ها به ویژه در اصلاح دندان های خرگوش در جایی که دندان های جلویی بیش از حد به جلو بیرون زده اند، موثر هستند.
کامپوزیتهای گربهای طوری شکل میگیرند که دندانها هماهنگتر، متقارنتر و طبیعیتر به نظر برسند. علاوه بر ایجاد زیبایی، می توانند با بازگرداندنشکل و اندازه طبیعی دندان هابه بهبود عملکرد نیز کمک کنند. پس از این درمان، میتوانید با اطمینان و آرامش بیشتری غذا بخورید، صحبت کنید و لبخند بزنید.
2. سرعت بالا
یکی از مهمترین مزایای کامپوزیت دندان خرگوش سرعت درمان است. این روش معمولاً دریک جلسه تکمیل می شود و بیمار می تواند بلافاصله پس از اتمام کار از دندان های خود استفاده کند. برخلاف درمانهای جراحی یا ارتودنسی، عملاً دوره نقاهت در کامپوزیت خرگوش وجود ندارد و فرد میتواند در همان روز به طور معمول غذا بخورد و صحبت کند.
3. ظاهر طبیعی
اگر کامپوزیت توسط دندانپزشک ماهر و با تجربه انجام شود، نتیجه نهایی کاملا طبیعی، هماهنگ و مشابه دندان های اصلی خواهد بود. البته مهارت دندانپزشک تنها یکی از عوامل موفقیت است. استفاده ازمواد کامپوزیت درجه یک و برندهای معتبر نیز نقش اساسی در زیبایی، دوام و شفافیت کار دارد.
بیشتر بخوانید: لمینیت سرامیکی یا ارتودنسی بسیار مناسبتر است. این امر کامپوزیت ها را به گزینه ای مقرون به صرفه برای افرادی تبدیل می کند که می خواهند ظاهر دندان های خود را بدون شکستگی بهبود بخشند.
علاوه بر این، در صورت پر شدن یا شکستگی دندان ها در آینده، ترمیم آن ها با کامپوزیت را می توان به راحتی و با هزینه کم انجام داد.
1. احتمال پر شدن یا ترک خوردن لب:
کامپوزیت نسبت به لمینت در برابر ضربه و فشار قوی مقاومت کمتری دارد.
2. تغییر رنگ در طول زمان:
نوشیدنیهای رنگی، قهوه، چای و تنباکو باعث میشوند لکههای کامپوزیت سریعتر شوند.
3. دوام کمتر از لمینت:
دوام کامپوزیت معمولاً چند سال کمتر از لمینت سرامیکی است.
4. نیاز به پرداخت و مراقبت دوره ای:
برای حفظ درخشش و جلوگیری از زبری سطح باید هر چند ماه یکبار جلا داده شود.
5. آلرژی به غذاها و نوشیدنی های رنگی:
مواد رنگی می توانند ظاهر کامپوزیت را سریعتر تغییر دهند.
6. برای اورجت های شدید مناسب نیست:
کامپوزیت فقط ظاهر را اصلاح می کند و جایگزینی برای ارتودنسی برای بیرون زدگی شدید نیست.
7. امکان بزرگتر دیدن دندان ها:افزایش حجم کامپوزیت روی دندان ممکن است ظاهر دندان را بزرگتر نشان دهد.
8. تاثیر دندان قروچه:
افرادی که دندان قروچه می کنند بیشتر مستعد شکستگی و پرکردن کامپوزیت هستند.
از طرفی لمینت خرگوشی بیشتر برای افرادی مناسب است که علاوه بر اصلاح برجستگی به دنبال بالاترین سطح زیبایی، شفافیت و ماندگاری هستند. لمینت های سرامیکی به دلیل مقاومت بالا، ثبات رنگ طولانی مدت و جلوه ای بسیار طبیعی، نتیجه ماندگارتری دارند و می توانند شکل و زاویه دندان های جلویی را با دقت بیشتری اصلاح کنند. البته این روش نیاز به ساییدن کوتاه روی دندان دارد و هزینه آن بیشتر از کامپوزیت خواهد بود.
بیشتر بخوانید: آیا دندان آسیب دیده می تواند کامپوزیت باشد
نکات پایانی
در مجموع، پروتزهای کامپوزیت روشی سریع، کم تهاجمی و مقرون به صرفه برای اصلاح ظاهر دندان های جلو هستند و می توانند لبخندی هماهنگ و جذاب در مدت زمان کوتاهی ایجاد کنند. اما این درمان فقط برای موارد خفیف تا متوسط مناسب است و در برجستگی های شدید نمی تواند جایگزین ارتودنسی شود. دوام و پایداری رنگ کامپوزیت نیز کمتر از لمینت است و نیاز به مراقبت منظم، پرداخت دوره ای و دوری از عادات مضر دارد. در نهایت انتخاب این روش باید با ارزیابی دقیق توسط دندانپزشک و بر اساس انتظارات زیبایی شناختی، بودجه و شرایط دهان و دندان بیمار انجام شود تا بهترین نتیجه ممکن حاصل شود.


1. احتمال پر شدن یا ترک خوردن لب:
انتخاب بین کامپوزیت خرگوش و لمینت خرگوش کاملاً به وضعیت دندان ها، شدت بیرون زدگی و هدف زیبایی شناختی فرد بستگی دارد. در بسیاری از موارد که بیرون زدگی دندان ها خفیف است و بیمار نمی خواهد دندان هایش کوتاه شود، کامپوزیت خرگوش گزینه مناسب تری در نظر گرفته می شود. این روش در زمان کوتاهی انجام می شود، معمولاً در یک جلسه تکمیل می شود، هزینه بسیار کمتری نسبت به لمینت دارد و از آنجایی که ساختار دندان دست نخورده باقی می ماند، برای افرادی که به دنبال تغییر سریع، کم تهاجمی و برگشت پذیر هستند، انتخاب ایده آلی است. البته دوام و ثبات رنگ کامپوزیت کمتر از لمینت است و برای حفظ زیبایی نیاز به مراقبت بیشتری دارد.

